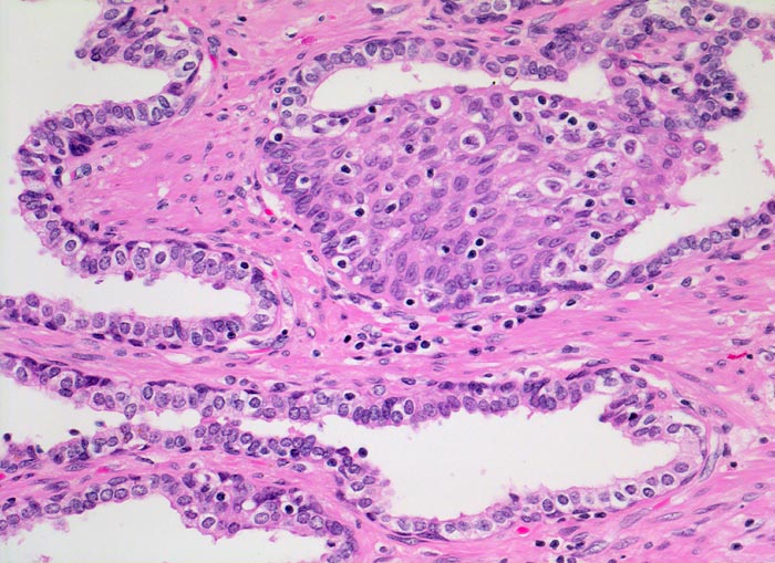
Das normale Prostataparenchym besteht aus Paketen grösserer Drüsen eingebettet in glatte Muskulatur. Das Epithel der tubuloalveolären Drüsen ist ein- bis mehrreihig und weist eine durchgehende Schicht flachgedrückter Basalzellen auf. Nicht selten kann eine fokale Hyperplasie dieser Zellen nachgewiesen werden. Die Epithelzellen haben mittelgrosse runde bis ovale Kerne mit winzigen Nukleolen und reichlich Zytoplasma.
Kommentar
Die Abwesenheit der Basalzellschicht ist eines der verlässlichsten Kriterien zur Diagnose eines Adenokarzinoms. In verschiedenen benignen Läsionen ist die Basalzellschicht fragmentiert, fehlt aber praktisch nie vollständig. In Zweifelsfällen kann die Basalzellschicht immunhistochemisch nachgewiesen werden.