Kommentar
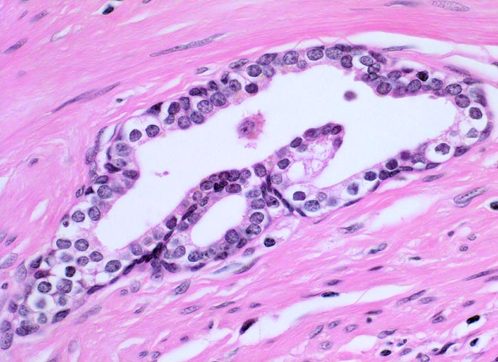
Die Abwesenheit der Basalzellschicht ist eines der verlässlichsten Kriterien zur Diagnose eines Adenokarzinoms. In verschiedenen benignen Läsionen ist die Basalzellschicht fragmentiert, fehlt aber praktisch nie vollständig. In Zweifelsfällen kann die Basalzellschicht immunhistochemisch nachgewiesen werden.