PathoPic – image database / PathoPic ID 4639 - Arteritis temporalis Horton (Riesenzellarteriitis)

de
Diagnose
Arteritis temporalis Horton (Riesenzellarteriitis)
Diagnose Gruppe
vaskulär / Durchblutungsstörung
Topographie
Arteria temporalis
Topographie Gruppe
Kardiovaskuläres System
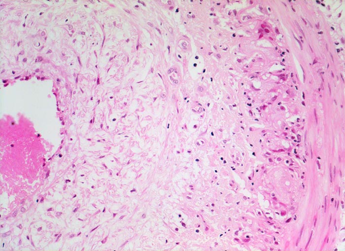
Beschreibung
Ausgeprägte lockere Intimafibrose. Die Media ist deutlich dünner als die Intima. An der Grenze zwischen Media und Intima Reste einer stark fragmentierten Lamina elastica interna und ein gemischtes Entzündungsinfiltrat.
Klinik
Seit mehreren Monaten starke beidseitige Schläfenkopfschmerzen. Seit einigen Tagen zusätzlich symmetrische muskelkaterartige Schmerzen im Schulterbereich und am Gesäss. Druckschmerzhaftigkeit der Oberarme. Druckschmerzhafte und pulslose Temporalarterien. Stark erhöhte Blutsenkungsgeschwindigkeit. Biopsie der Temporalarterien und Einleitung einer Corticosteroidtherapie bei dringendem Verdacht auf Horton Arteritis.
Bilder Typ
Histologie
Vergrösserung
200
Alter
80
Geschlecht
männlich
Datum
Ersteintrag: 06.05.2002
Update: 04.02.2024