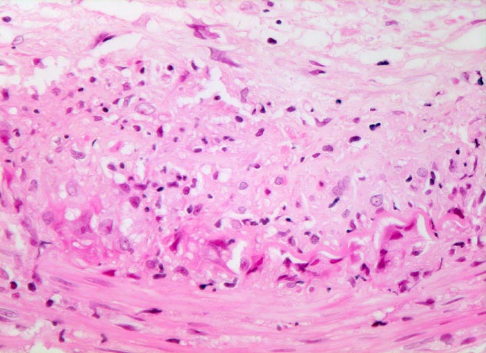
An der Grenze zwischen Media (unten) und Intima (oben) Reste einer stark fragmentierten Lamina elastica interna. Resten der Lamina elastica sind Riesenzellen angelagert. Daneben finden sich Histiozyten und Lymphozyten.
Klinik
Seit mehreren Monaten starke beidseitige Schläfenkopfschmerzen. Seit einigen Tagen zusätzlich symmetrische muskelkaterartige Schmerzen im Schulterbereich und am Gesäss. Druckschmerzhaftigkeit der Oberarme. Druckschmerzhafte und pulslose Temporalarterien. Stark erhöhte Blutsenkungsgeschwindigkeit. Biopsie der Temporalarterien und Einleitung einer Corticosteroidtherapie bei dringendem Verdacht auf Horton Arteritis.
Kommentar
Riesenzellen sind nur bei zwei Drittel aller Fälle nachweisbar. Da die Läsionen meist segmental verteilt sind, sollte eine Biopsie idealerweise ein 4-5cm langes Arterienteilstück umfassen. Das Gewebe wird vollständig eingebettet und mit Stufenschnitten untersucht.