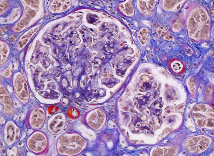
Glomerulum mit homogenen, rotgefärbten Einlagerung in der Arteriolenwand mit Verschwinden der zellulären Gefässwandstrukturen von Vas afferens und efferens (typisch für Diabetes mellitus). Lumeneinengung der Arteriolen. Interstitielle Fibrose.
Zusatzbefund
fein granulierte Nierenoberfläche und fokale vaskuläre Narben
Klinik
Diabetes mellitus Typ II und arterielle Hypertonie seit 10 Jahren. Leichte Proteinurie.
Kommentar
Das hyaline Material besteht aus Plasmaproteinen, Lipiden und Basalmembranmaterial.
Bei arterieller Hypertonie ist in der Regel nur das Vas afferens von der Arteriolosklerose betroffen. Bei Diabetes mellitus sowohl Vas afferens als auch Vas efferens.