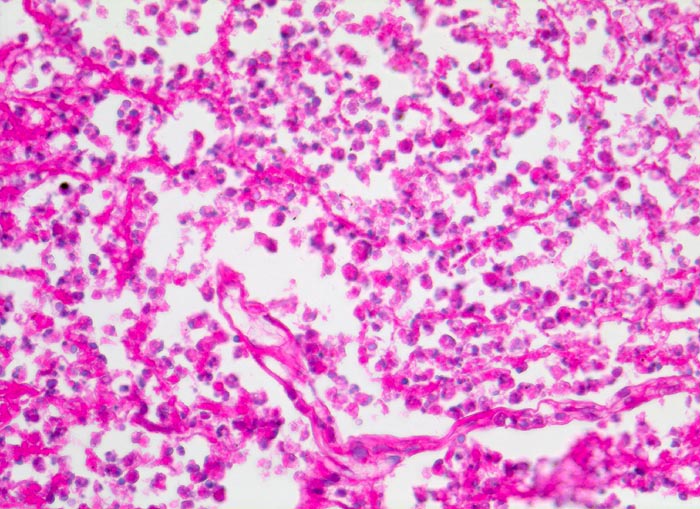
Die Alveolen sind angefüllt mit fädigem Fibrin und zerfallenden neutrophilen Granulozyten.
Zusatzbefund
Der linke Lungenunterlappen ist vergrössert und verfestigt. Die Schnittfläche ist leicht körnelig und graugelb. Der Abstrichsaft ist gelblich trüb und schmierig. Die übrigen Lungenlappen sind leicht ödematös.
Klinik
Patient mit schwerer Demenz.
Plötzlicher Krankheitsbeginn mit hohem Fieber (Continua), Leukozytose, Dämpfung über dem linken Unterlappen. Tod am 6. Tag der Erkrankung an Herzversagen.