PathoPic – image database / PathoPic ID 4660 - invasives duktales Mammakarzinom

de
Diagnose
invasives duktales Mammakarzinom
Diagnose Gruppe
maligner Tumor
Topographie
Mamma
Topographie Gruppe
Mamma
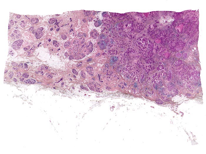
Beschreibung
Links im Bild normale Drüsenläppchen. Rechts das Karzinom ohne erkennbare Läppchenstruktur mit Entzündungsinfiltraten im Bereich der Invasionsfront und herdförmigen Tumornekrosen.
Zusatzbefund
Makroskopisch: derber weisser Herd von 2.2cm Durchmesser im oberen äusseren Quadranten.
Klinik
Die Patientin hatte bei der Selbstuntersuchung einen harten Knoten in der rechten Mamma palpiert. Nach dem Nachweis von Karzinomzellen in der Feinnadelpunktion wurde eine Lumpektomie durchgeführt. Die intraoperative Schnellschnittuntersuchung ergab tumorfreie Resektionsränder.
Bilder Typ
Histologie
Vergrösserung
Scan
Alter
54
Geschlecht
unbekannt
Datum
Ersteintrag: 06.05.2002
Update: 04.02.2024