Pathopic
HiPaKu
ZyPaKu
PathoBasic
PathoBasic Cytology
Quizzes
Projektinfos
PathoPic - Projekt- und Copyright-Infos
About
Pathopic
HiPaKu
ZyPaKu
PathoBasic
PathoBasic Cytology
Quizzes
PathoPic – image database
/
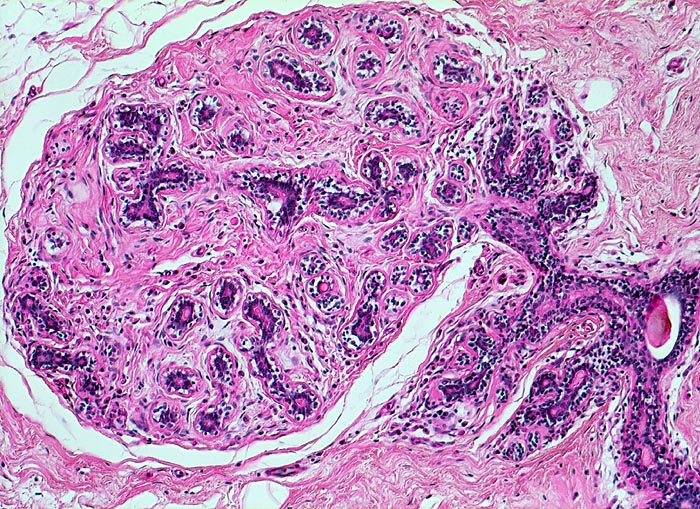
PathoPic ID 4661 - ruhende Mamma: normales Brustdrüsenläppchen
de
Diagnose
ruhende Mamma: normales Brustdrüsenläppchen
Diagnose Gruppe
Normalbefund
Topographie
Mamma
Topographie Gruppe
Mamma
Beschreibung
Scharf begrenztes Mammaläppchen mit
Tubuli. Diese werden drainiert durch einen
Ductus lactiferus.
Kommentar
Das ruhende Mammaläppchen enthält lediglich Tubuli. Die Mamma lactans besteht aus tubuloalveolären Drüsen.
Bilder Typ
Histologie
Vergrösserung
100
Alter
42
Geschlecht
unbekannt
Datum
Ersteintrag: 06.05.2002
Update: 04.02.2024
CPS
·
©
2024 Institut für Pathologie Basel
/
Dr. med. Katharina Glatz-Krieger
.
·
v2.1