PathoPic – image database / PathoPic ID 4662 - ruhende Mamma: normales Brustdrüsenläppchen

de
Diagnose
ruhende Mamma: normales Brustdrüsenläppchen
Diagnose Gruppe
Normalbefund
Topographie
Mamma
Topographie Gruppe
Mamma
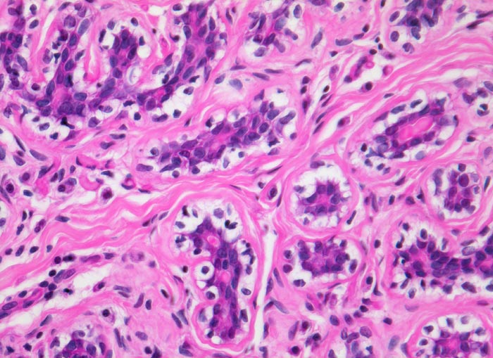
Beschreibung
Die Tubuli des Mammaläppchens sind ausgekleidet durch ein einreihiges Epithel. Daran angrenzend die Myoepithelschicht aufsitzend auf einer Basalmembran. Myoepithelzellen mit auffallend balloniertem klarem Zytoplasma. Das Läppchenstroma ist meist etwas lockerer als das interlobuläre Stroma.
Kommentar
Das ruhende Mammaläppchen enthält lediglich Tubuli. Die Mamma lactans besteht aus tubuloalveolären Drüsen.
Bilder Typ
Histologie
Vergrösserung
320
Alter
42
Geschlecht
unbekannt
Datum
Ersteintrag: 06.05.2002
Update: 04.02.2024