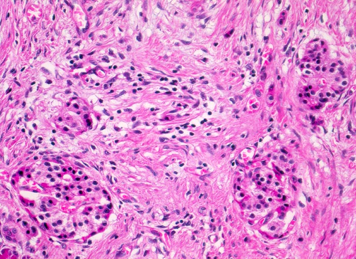
Während die Azini das exokrine Pankreasparenchym zunehmend fibrosieren und schliesslich ganz verschwinden, bleibt das endokrine Pankreas relativ gut erhalten. Nach Verschwinden der Azini sind im fibrosierten Gewebe Pankreasinseln zurückgeblieben. Geringgradiges lymphoplasmazelluläres Entzündungsinfiltrat.
Klinik
Alkoholiker mit rezidivierten akuten Pankreatitisschüben. Chronische Diarrhoe.
Kommentar
Durch das Verschwinden des exokrinen Pankreas rücken die Inseln näher zueinander und erscheinen zahlreicher als normal. Dies führt zum fälschlichen Eindruck einer Hyperplasie der Pankreasinseln.