PathoPic – image database / PathoPic ID 4672 - Abortkurettage

de
Diagnose
Abortkurettage
Diagnose Gruppe
angeboren /genetisch/Missbildung
Topographie
Abortmaterial
Topographie Gruppe
Paidopathologie
Beschreibung
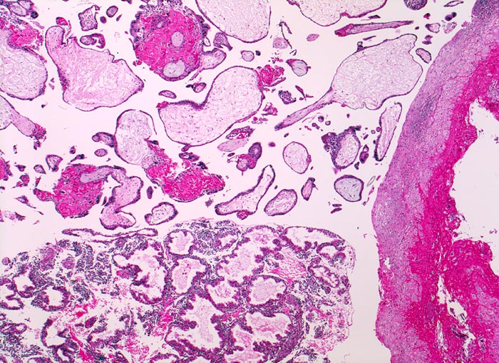
Schwangerschaftsendometrium mit hypersekretorischen Drüsen. Deziduafragment mit Einblutungen. Plazentarzotten mit Zeichen der Retention ( hydropisches Zottenstroma, Fibrinablagerungen).
Klinik
Missed abortion in der 11. Schwangerschaftswoche, sonographisch entsprechend der 9. Schwangerschaftswoche.
Kommentar
Plumpe Zotten mit hydropischem Stroma ohne Gefässe und flaches Trophoblastepithel sind vereinbar mit einer Windmole (=Windei). Differentialdiagnostisch könnten die beobachteten Veränderungen auch retentionsbedingt sein.
Bilder Typ
Histologie
Vergrösserung
25
Alter
33
Geschlecht
unbekannt
Datum
Ersteintrag: 20.07.2002
Update: 04.02.2024