PathoPic – image database / PathoPic ID 4674 - Abortkurettage: choriales Gewebe

de
Diagnose
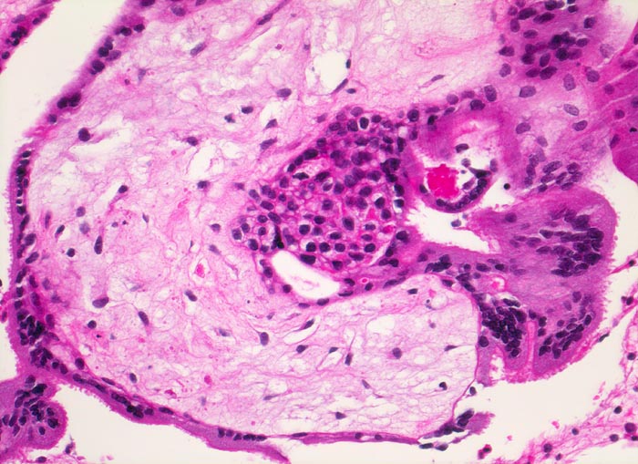
Abortkurettage: choriales Gewebe
Diagnose Gruppe
angeboren /genetisch/Missbildung
Topographie
Abortmaterial
Topographie Gruppe
Paidopathologie
Beschreibung
Gefässe sind im degenerierten Zottenstroma nicht sicher zu erkennen. Die Zotte wird bedeckt von fokal leicht proliferiertem Zytotrophoblast und mehrkernigem Synzytiotrophoblast.
Klinik
Missed abortion in der 11. Schwangerschaftswoche, sonographisch entsprechend der 9. Schwangerschaftswoche.
Bilder Typ
Histologie
Vergrösserung
200
Alter
33
Geschlecht
unbekannt
Datum
Ersteintrag: 20.07.2002
Update: 04.02.2024