PathoPic – image database / PathoPic ID 4678 - Seminom des Hodens

de
Diagnose
Seminom des Hodens
Diagnose Gruppe
maligner Tumor
Topographie
Hoden
Topographie Gruppe
Genitalorgane, männlich
Beschreibung
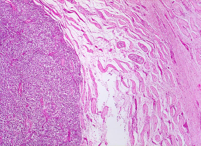
Links das zellreiche Tumorgewebe mit expansivem, verdrängendem Wachstum. Das angrenzende Hodenparenchym zeigt eine vollständige tubuläre Atrophie ohne erkennbare Spermatogenese. Vereinzelte Tubuli enthalten atypische Zellen.
Zusatzbefund
Makroskopisch aus mehreren Knoten bestehender weisser Tumor von 2cm Durchmesser.
Klinik
Der Patient suchte den Arzt wegen einer schmerzlosen Hodenvergrösserung auf.
Bilder Typ
Histologie
Vergrösserung
25
Alter
36
Geschlecht
männlich
Datum
Ersteintrag: 06.05.2002
Update: 04.02.2024