Pathopic
HiPaKu
ZyPaKu
PathoBasic
PathoBasic Cytology
Quizzes
Projektinfos
PathoPic - Projekt- und Copyright-Infos
About
Pathopic
HiPaKu
ZyPaKu
PathoBasic
PathoBasic Cytology
Quizzes
PathoPic – image database
/
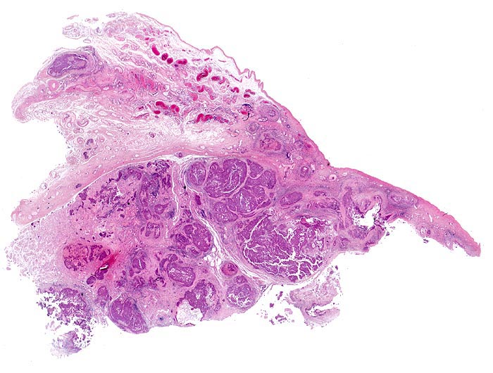
PathoPic ID 4682 - Embryonales Karzinom des Hodens
de
Diagnose
Embryonales Karzinom des Hodens
Diagnose Gruppe
maligner Tumor
Topographie
Hoden
Topographie Gruppe
Genitalorgane, männlich
Beschreibung
Unscharf begrenzter lobulierter Tumor mit ausgedehnten
Nekrosen.
Zusatzbefund
Makroskopisch aus mehreren unscharf begrenzten, bunten, teils hämorrhagischen Knoten bestehender Tumor von 3cm Durchmesser.
Klinik
Schmerzlose Hodenvergrösserung.
Bilder Typ
Histologie
Vergrösserung
Scan
Alter
34
Geschlecht
männlich
Datum
Ersteintrag: 06.05.2002
Update: 04.02.2024
CPS
·
©
2024 Institut für Pathologie Basel
/
Dr. med. Katharina Glatz-Krieger
.
·
v2.1