PathoPic – image database / PathoPic ID 4685 - Embryonales Karzinom des Hodens

de
Diagnose
Embryonales Karzinom des Hodens
Diagnose Gruppe
maligner Tumor
Topographie
Hoden
Topographie Gruppe
Genitalorgane, männlich
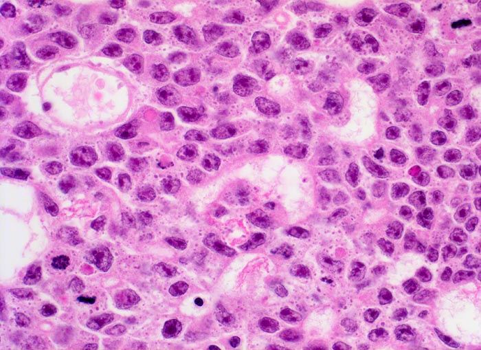
Beschreibung
Die Tumorzellplatten werden unterbrochen von dünnwandigen Blutgefässen. Die Tumorzellkerne sind gross, ausgesprochen polymorph, entrundet und hyperchromatisch. Die Nukleolen sind vergrössert und unregelmässig geformt. Die Zellgrenzen sind teilweise verwischt. Mitosen.
Zusatzbefund
Makroskopisch aus mehreren unscharf begrenzten, bunten, teils hämorrhagischen Knoten bestehender Tumor von 3cm Durchmesser.
Klinik
Schmerzlose Hodenvergrösserung.
Bilder Typ
Histologie
Vergrösserung
400
Alter
34
Geschlecht
männlich
Datum
Ersteintrag: 06.05.2002
Update: 04.02.2024