PathoPic – image database / PathoPic ID 4686 - Embryonales Karzinom des Hodens: Gefässeinbruch und TIN

de
Diagnose
Embryonales Karzinom des Hodens: Gefässeinbruch und TIN
Diagnose Gruppe
maligner Tumor
Topographie
Hoden
Topographie Gruppe
Genitalorgane, männlich
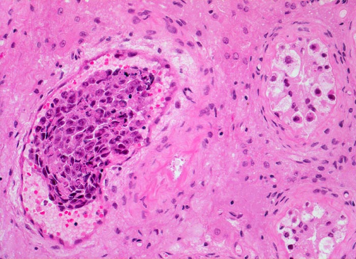
Beschreibung
Kompaktes Tumorzellaggregat mit Quetschartefakten innerhalb eines endothelausgekleideten erythrozytenhaltigen Blutgefässes. Hodentubulus mit atypischen Keimzellen (testikuläre intratubuläre Neoplasie=TIN).
Zusatzbefund
Makroskopisch aus mehreren unscharf begrenzten, bunten, teils hämorrhagischen Knoten bestehender Tumor von 3cm Durchmesser.
Klinik
Schmerzlose Hodenvergrösserung.
Kommentar
Das Vorliegen von Spaltartefakten zwischen Tumorzellen und tubulärer Basalmembran bei einer testikulären intratubulären Neoplasie kann fälschlicherweise den Eindruck einer Gefässinvasion erwecken. Eine Gefässinvasion kann nur dann diagnostiziert werden, wenn die tubuläre Struktur eindeutig von Endothelzellen ausgekleidet wird.
Bilder Typ
Histologie
Vergrösserung
200
Alter
34
Geschlecht
männlich
Datum
Ersteintrag: 06.05.2002
Update: 04.02.2024