PathoPic – image database / PathoPic ID 4688 - Embryonales Karzinom des Hodens

de
Diagnose
Embryonales Karzinom des Hodens
Diagnose Gruppe
maligner Tumor
Topographie
Hoden
Topographie Gruppe
Genitalorgane, männlich
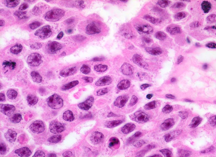
Beschreibung
Trabekuläres Tumorwachstum unterbrochen von dünnwandigen Blutgefässen. Die Tumorzellkerne sind gross, ausgesprochen polymorph, entrundet und hyperchromatisch. Mitosen und eine Apoptose zeugen von einem stark erhöhten Zellumsatz.
Zusatzbefund
Makroskopisch aus mehreren unscharf begrenzten, bunten, teils hämorrhagischen Knoten bestehender Tumor von 3cm Durchmesser.
Klinik
Schmerzlose Hodenvergrösserung.
Bilder Typ
Histologie
Vergrösserung
630
Alter
34
Geschlecht
männlich
Datum
Ersteintrag: 06.05.2002
Update: 04.02.2024