PathoPic – image database / PathoPic ID 4689 - Diffuser Alveolarschaden, exsudatives und proliferatives Stadium

de
Diagnose
Diffuser Alveolarschaden, exsudatives und proliferatives Stadium
Diagnose Gruppe
organspezifische Erkrankung
Topographie
Lunge
Topographie Gruppe
Lunge, Mediastinum mit Thymus
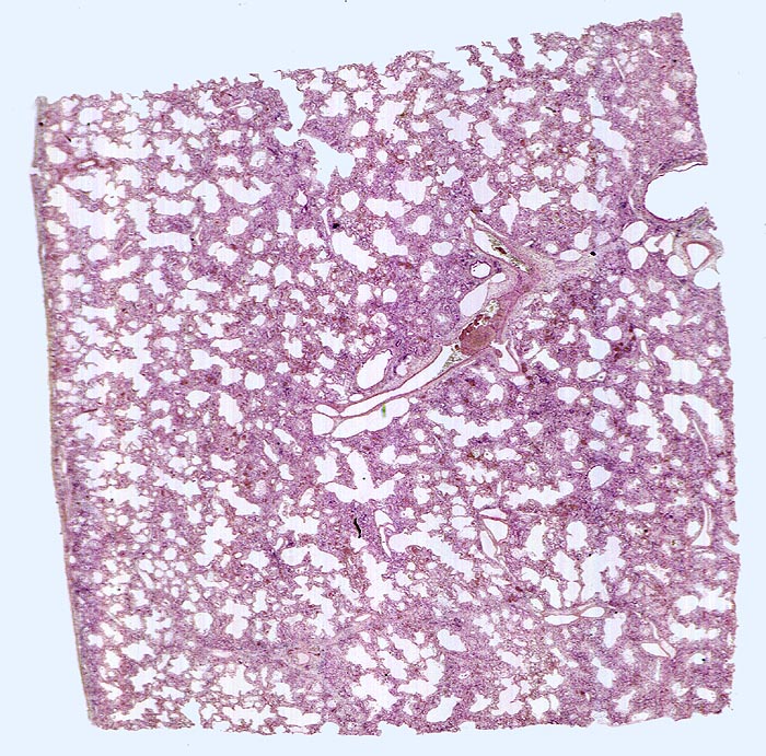
Beschreibung
In der Übersicht ist eine diffuse Verbreiterung der Alveolarsepten erkennbar.
Zusatzbefund
Makroskopischer Lungenbefund: schwere, wässrige und verfestigte dunkelrote Lungen aus denen sich nur wenig Flüssigkeit auspressen lässt.
Klinik
Hospitalisation wegen akuter nekrotisierender Pankreatitis. Am zweiten Hospitalisationstag entwickelt der Patient ein ARDS (Adult Respiratory Distress Syndrome) mit rasch progredienter Dyspnoe und Tachypnoe, sowie einer Hypoxämie, welche im Verlauf auf Sauerstoffgabe nicht mehr anspricht. Das Thoraxröntgenbild zeigt bilaterale diffuse Verschattungen. Der Patient verstirbt trotz Intensivmassnahmen am 9. Tag nach Spitaleintritt am Multiorganversagen.
Kommentar
Der diffuse Alveolarschaden ist das morphologische Korrelat des ARDS (klinischer Begriff).
Bilder Typ
Histologie
Vergrösserung
Scan
Alter
47
Geschlecht
männlich
Datum
Ersteintrag: 05.05.2002
Update: 04.02.2024