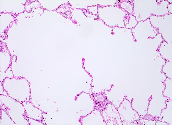
PathoPic – image database / PathoPic ID 4695 - zentroazinäres Lungenemphysem

de
Diagnose
zentroazinäres Lungenemphysem
Diagnose Gruppe
organspezifische Erkrankung
Topographie
Lunge
Topographie Gruppe
Lunge, Mediastinum mit Thymus
Beschreibung
Stark erweiterter zentroazinärer Luftraum. Die Alveolarsepten erscheinen fragmentiert: Bruchstücke von Alveolarsepten und Gefässen scheinen ohne Verbindung mit dem übrigen Gewebe im Zentrum der emphysematischen Räume zu liegen. Die peripheren Anteile des Azinus sind intakt (Bildrand).
Klinik
Bekannte COPD. Dyspnoe bei leichter Anstrengung. Nikotinabusus von 80 Packyears
Bilder Typ
Histologie
Vergrösserung
50
Alter
63
Geschlecht
männlich
Datum
Ersteintrag: 06.05.2002
Update: 04.02.2024