PathoPic – image database / PathoPic ID 4696 - zentroazinäres Lungenemphysem

de
Diagnose
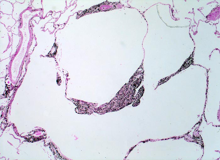
zentroazinäres Lungenemphysem
Diagnose Gruppe
organspezifische Erkrankung
Topographie
Lunge
Topographie Gruppe
Lunge, Mediastinum mit Thymus
Beschreibung
Stark erweitertes Azinuszentrum erkennbar am schwarzen Anthrakosepigment. Die Alveolarsepten erscheinen fragmentiert: Bruchstücke von Alveolarsepten und Gefässen scheinen ohne Verbindung mit dem übrigen Gewebe im Zentrum der emphysematischen Räume zu liegen
Klinik
Bekannte COPD. Dyspnoe bei leichter Anstrengung. Nikotinabusus von 80 Packyears
Kommentar
Makroskopisch erscheinen die destruierten Azinuszentren als schwarz umrandete unterschiedlich grosse Löcher.
Bilder Typ
Histologie
Vergrösserung
25
Alter
63
Geschlecht
männlich
Datum
Ersteintrag: 06.05.2002
Update: 04.02.2024