PathoPic – image database / PathoPic ID 4709 - Sarkoidosegranulom

de
Diagnose
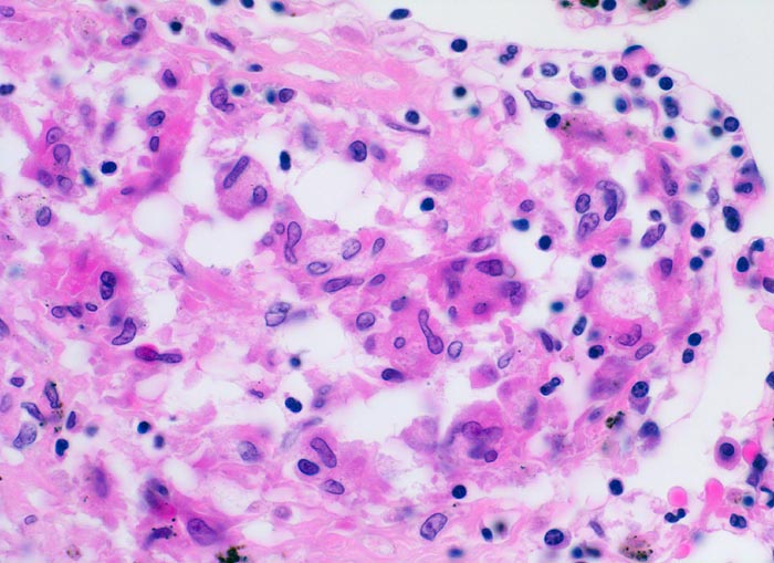
Sarkoidosegranulom
Diagnose Gruppe
Systemerkrankung/Immunpathologie
Topographie
Lunge
Topographie Gruppe
Lunge, Mediastinum mit Thymus
Beschreibung
Produktives, nicht nekrotisierendes Granulom mit zahlreichen Epitheloidzellen, Riesenzellen vom Fremdkörpertyp und einem peripheren Saum von Lymphozyten und einzelnen Plasmazellen.
Zusatzbefund
In Spezialfärbungen lassen sich weder Pilze noch Bakterien nachweisen.
Klinik
bekannte Sarkoidose
Bilder Typ
Histologie
Vergrösserung
400
Alter
46
Geschlecht
unbekannt
Datum
Ersteintrag: 08.07.2002
Update: 04.02.2024