PathoPic – image database / PathoPic ID 4713 - Bronchialschleimhaut

de
Diagnose
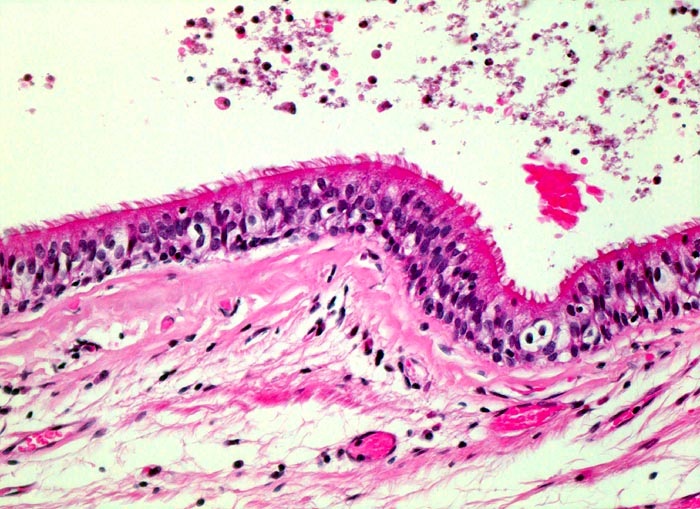
Bronchialschleimhaut
Diagnose Gruppe
Normalbefund
Topographie
Bronchus
Topographie Gruppe
Lunge, Mediastinum mit Thymus
Beschreibung
Mehrreihiges Flimmerepithel ohne Atypien. Unterhalb der Basalmembran lockeres subepitheliales Stroma mit vereinzelten Entzündungszellen.
Klinik
Transbronchiale Biopsie zur Abklärung eines Rundherdes.
Bilder Typ
Histologie
Vergrösserung
200
Alter
61
Geschlecht
männlich
Datum
Ersteintrag: 06.05.2002
Update: 04.02.2024