PathoPic – image database / PathoPic ID 4721 - kleinzelliges Bronchuskarzinom: Tumornekrosen

de
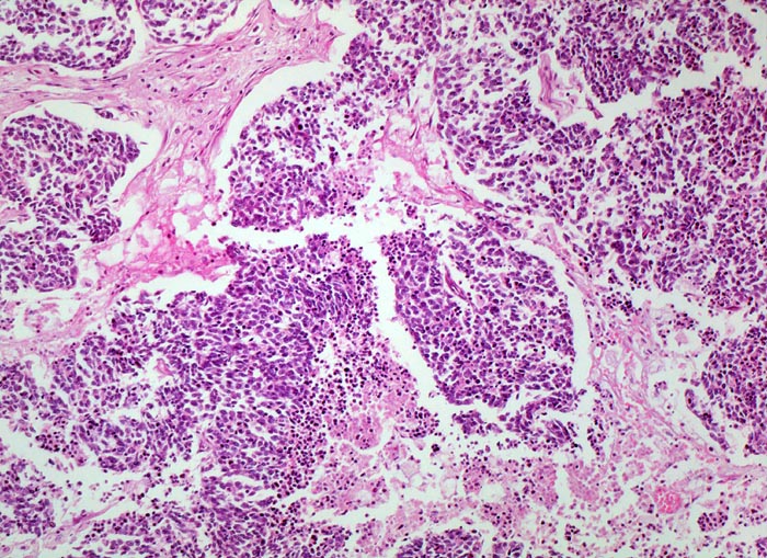
Diagnose
kleinzelliges Bronchuskarzinom: Tumornekrosen
Diagnose Gruppe
maligner Tumor
Topographie
Lunge
Topographie Gruppe
Lunge, Mediastinum mit Thymus
Beschreibung
Fokale Tumornekrosen.
Klinik
Inoperables metastasierendes Bronchuskarzinom. Nikotinabusus 70 Packyears.
Bilder Typ
Histologie
Vergrösserung
100
Alter
55
Geschlecht
männlich
Datum
Ersteintrag: 06.05.2002
Update: 04.02.2024