PathoPic – image database / PathoPic ID 4724 - Plattenepithelkarzinom

de
Diagnose
Plattenepithelkarzinom
Diagnose Gruppe
maligner Tumor
Topographie
Lunge
Topographie Gruppe
Lunge, Mediastinum mit Thymus
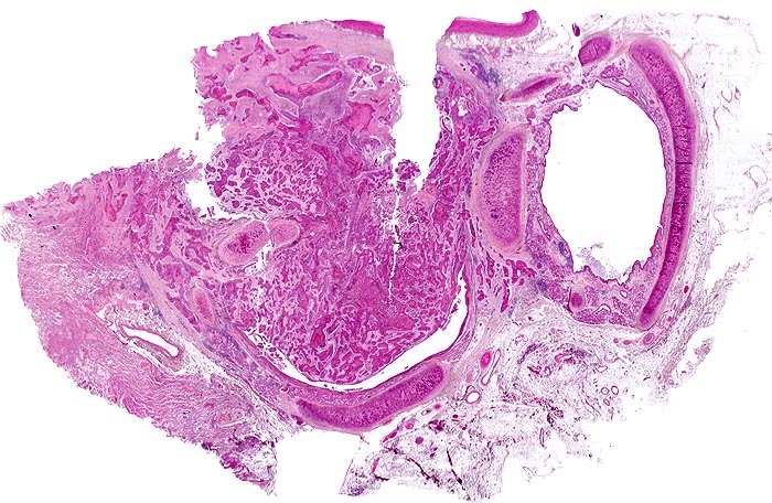
Beschreibung
Eine Bronchuslichtung von einem Tumorzapfen weitgehend verschlossen. Rechts davon ein tumorfreier Bronchusquerschnitt. Das Tumorgewebe bildet solide Zellstränge, welche eingebettet sind in ein desmoplastisches Stroma. Zusammengequetschtes Lungengewebe am Rand der Probe.
Klinik
Zentrales Bronchuskarzinom des rechten Lungenoberlappens von 5cm Durchmesser. Lungenoberlappenresektion.
Kommentar
Das Präparat zeigt den tumorbefallenen Bronchusresektionsrand. Die Resektion erfolgte also nicht im Gesunden.
Bilder Typ
Histologie
Vergrösserung
Scan
Alter
58
Geschlecht
männlich
Datum
Ersteintrag: 11.07.2002
Update: 04.02.2024