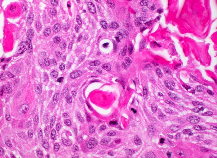
Der solide Tumor zeigt eine klare plattenepitheliale Differenzierung mit Hornbildung, zytoplasmareichen Tumorzellen und zahlreichen stachelartigen Desmosomen zwischen den Zellen. Die Tumorzellen sind im Vergleich zu normalem Plattenepithel polymorpher, leicht vergrössert und hyperchromatisch. Mitosen.
Klinik
Zentrales Bronchuskarzinom des rechten Lungenoberlappens von 5cm Durchmesser.
Lungenoberlappenresektion.