PathoPic – image database / PathoPic ID 4729 - Lymphangiosis carcinomatosa, zentroazinäres Lungenemphysem

de
Diagnose
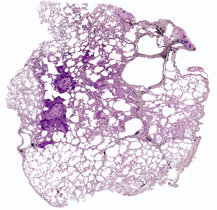
Lymphangiosis carcinomatosa, zentroazinäres Lungenemphysem
Diagnose Gruppe
maligner Tumor
Topographie
Lunge
Topographie Gruppe
Lunge, Mediastinum mit Thymus
Beschreibung
In der Übersicht sind mehrere Tumorherde erkennbar sowie eine Destruktion des Lungenparenchyms im Bereich der mit Anthrakosepigment schwarz angefärbten Azinuszentren (zentroazinäres Emphysem).
Klinik
Metastasierendes Tumorleiden bei unbekanntem Primärtumor. Autoptisch primäres peripheres neuroendokrines Karzinom der Lunge mit ausgedehnter lymphogener und hämatogener Metastasierung.
Bilder Typ
Histologie
Vergrösserung
Scan
Alter
64
Geschlecht
unbekannt
Datum
Ersteintrag: 06.10.2002
Update: 04.02.2024