PathoPic – image database / PathoPic ID 4731 - Lymphangiosis carcinomatosa

de
Diagnose
Lymphangiosis carcinomatosa
Diagnose Gruppe
maligner Tumor
Topographie
Lunge
Topographie Gruppe
Lunge, Mediastinum mit Thymus
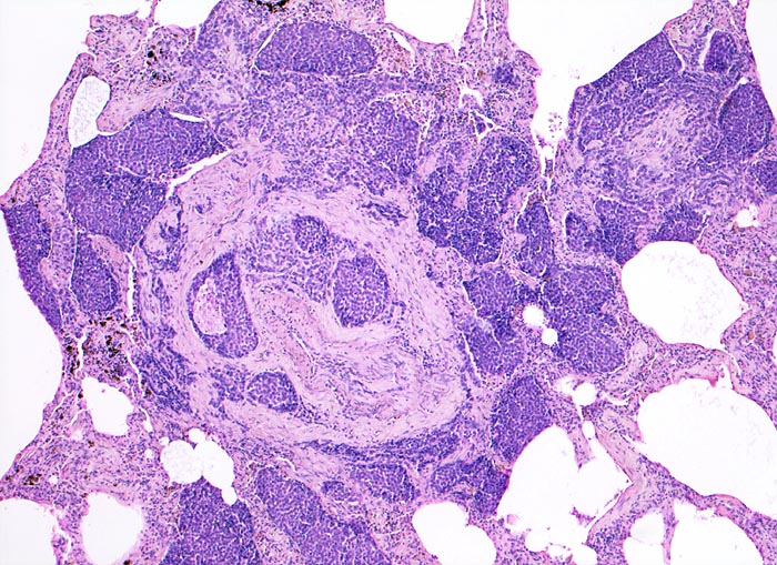
Beschreibung
Dunkle solide Tumorinfiltrate gruppieren sich um einen zentralen Pulmonalarterienast. Der Tumor liegt aber nicht nur innerhalb präformierter Gefässräume, sondern bildet invasive unscharf begrenzte Herde im perivaskulären Bindegewebe und füllt die angrenzenden Alveolen aus. Ablagerungen von schwarzem Anthrakosepigment.
Klinik
Metastasierendes Tumorleiden bei unbekanntem Primärtumor. Autoptisch primäres peripheres neuroendokrines Karzinom der Lunge mit ausgedehnter lymphogener und hämatogener Metastasierung.
Kommentar
Obwohl keine sichere Lymphgefässwand identifiziert werden kann, ist aufgrund der Lage eines Teils der Tumorzellaggregate rund um einen Pulmonalarterienast und der scharfen Begrenzung anzunehmen, dass sich der Tumor in den dort lokalisierten Lymhspalten ausbreitet.
Bilder Typ
Histologie
Vergrösserung
50
Alter
64
Geschlecht
unbekannt
Datum
Ersteintrag: 02.11.2002
Update: 04.02.2024