PathoPic – image database / PathoPic ID 4738 - papilläres Schilddrüsenkarzinom

de
Diagnose
papilläres Schilddrüsenkarzinom
Diagnose Gruppe
maligner Tumor
Topographie
Schilddrüse
Topographie Gruppe
Endokrinium
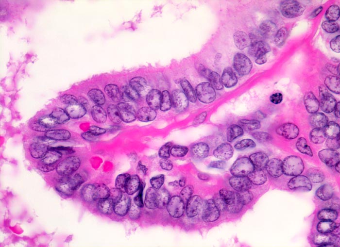
Beschreibung
Papille mit fibrovaskulärem Stromastiel ausgekleidet durch dicht gelagerte, einander überlappende Zellen mit der typischen Zytomorphologie des papillären Karzinoms. Die randliche Verdichtung und zentrale Aufhellung des Chromatins verleiht den Kernen den typischen Milchglasaspekt. Einzelne Kerne mit einer Kerbe (=Groove).
Klinik
In der Feinnadelpunktion eines 2cm grossen kalten Knotens werden Karzinomzellen nachgewiesen vereinbar mit einem papillären Schilddrüsenkarzinom.
Kommentar
Papille = fibrovaskulärer Stromastiel bedeckt von Epithel
Bilder Typ
Histologie
Vergrösserung
630
Alter
46
Geschlecht
unbekannt
Datum
Ersteintrag: 06.05.2002
Update: 04.02.2024