PathoPic – image database / PathoPic ID 4740 - Makropapille

de
Diagnose
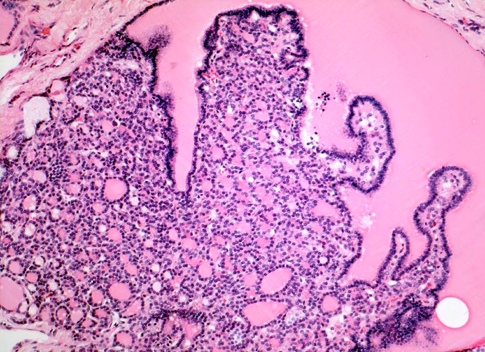
Makropapille
Diagnose Gruppe
Normalbefund
Topographie
Schilddrüse
Topographie Gruppe
Endokrinium
Beschreibung
Das Stroma der Makropapille ist ausgefüllt mit Schilddrüsenfollikeln. Das auskleidende Epithel entspricht normalem Follikelepithel.
Kommentar
Im normalen Schilddrüsenparenchym lassen sich oft papilläre Strukturen nachweisen. Im Gegensatz zu papillären Karzinomen lassen sich bei sogenannten Makropapillen im fibrovaskulären Stroma Follikel nachweisen.
Bilder Typ
Histologie
Vergrösserung
100
Alter
46
Geschlecht
unbekannt
Datum
Ersteintrag: 06.05.2002
Update: 04.02.2024