Pathopic
HiPaKu
ZyPaKu
PathoBasic
PathoBasic Cytology
Quizzes
Projektinfos
PathoPic - Projekt- und Copyright-Infos
About
Pathopic
HiPaKu
ZyPaKu
PathoBasic
PathoBasic Cytology
Quizzes
PathoPic – image database
/
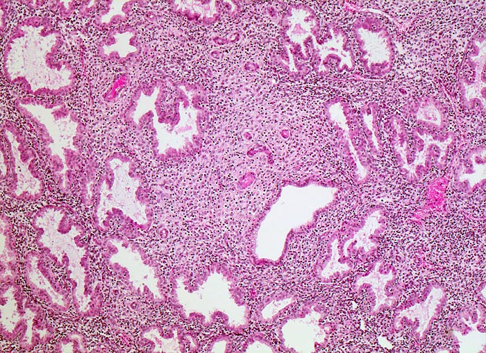
PathoPic ID 4745 - Sekretionsphase 10. Tag nach Ovulation
de
Diagnose
Sekretionsphase 10. Tag nach Ovulation
Diagnose Gruppe
Normalbefund
Topographie
Endometrium
Topographie Gruppe
Genitalorgane, weiblich
Beschreibung
Grosszellige Stromaumwandlung vor allem um die
Spiralarterien. Geschlängelte Drüsenschläuche mit Epithelknospen.
Klinik
Dyspareunie
Bilder Typ
Histologie
Vergrösserung
50
Alter
33
Geschlecht
unbekannt
Datum
Ersteintrag: 06.05.2002
Update: 04.02.2024
CPS
·
©
2024 Institut für Pathologie Basel
/
Dr. med. Katharina Glatz-Krieger
.
·
v2.1