Pathopic
HiPaKu
ZyPaKu
PathoBasic
PathoBasic Cytology
Quizzes
Projektinfos
PathoPic - Projekt- und Copyright-Infos
About
Pathopic
HiPaKu
ZyPaKu
PathoBasic
PathoBasic Cytology
Quizzes
PathoPic – image database
/
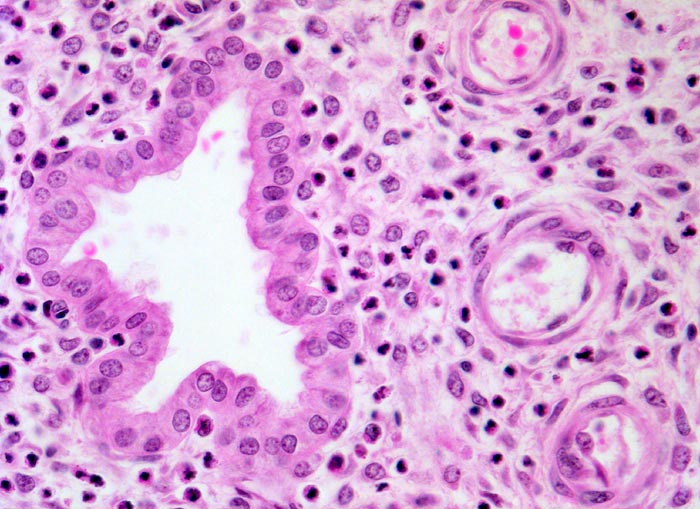
PathoPic ID 4746 - Sekretionsphase 10. Tag nach Ovulation
de
Diagnose
Sekretionsphase 10. Tag nach Ovulation
Diagnose Gruppe
Normalbefund
Topographie
Endometrium
Topographie Gruppe
Genitalorgane, weiblich
Beschreibung
Sternförmige Drüse mit wenig apikaler Sekretion. Um die
Spiralarterien Differenzierung der Stromazellen in
grosse Stromazellen und
kleine Körnchenzellen mit roten phloxinophilen Körnchen.
Klinik
Dyspareunie
Bilder Typ
Histologie
Vergrösserung
200
Alter
33
Geschlecht
unbekannt
Datum
Ersteintrag: 06.05.2002
Update: 04.02.2024
CPS
·
©
2024 Institut für Pathologie Basel
/
Dr. med. Katharina Glatz-Krieger
.
·
v2.1