Pathopic
HiPaKu
ZyPaKu
PathoBasic
PathoBasic Cytology
Quizzes
Projektinfos
PathoPic - Projekt- und Copyright-Infos
About
Pathopic
HiPaKu
ZyPaKu
PathoBasic
PathoBasic Cytology
Quizzes
PathoPic – image database
/
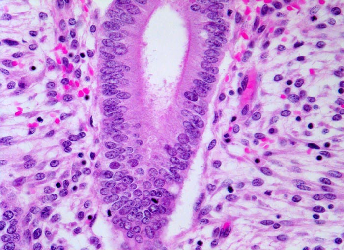
PathoPic ID 4748 - Mittlere Proliferationsphase des Endometriums
de
Diagnose
Mittlere Proliferationsphase des Endometriums
Diagnose Gruppe
Normalbefund
Topographie
Endometrium
Topographie Gruppe
Genitalorgane, weiblich
Beschreibung
Epithel hochzylindrisch, Kerne länglich chromatinreich mit Mitosen. Stroma aufgelockert.
Klinik
Uterus myomatosus
Bilder Typ
Histologie
Vergrösserung
200
Alter
44
Geschlecht
unbekannt
Datum
Ersteintrag: 06.05.2002
Update: 04.02.2024
CPS
·
©
2024 Institut für Pathologie Basel
/
Dr. med. Katharina Glatz-Krieger
.
·
v2.1