PathoPic – image database / PathoPic ID 4752 - Barrettmukosa

de
Diagnose
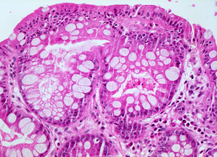
Barrettmukosa
Diagnose Gruppe
Metaplasie / Heterotopie
Topographie
Oesophagus, distal
Topographie Gruppe
Oesophagus, Magen
Beschreibung
Anstelle von Plattenepithel findet sich eine intestinale Metaplasie mit Becherzellen. Dysplastische Veränderungen der metaplastischen Schleimhaut sind im vorliegenden Fall nicht vorhanden. Im Stroma sind Plasmazellen und vereinzelte Granulozyten nachweisbar.
Zusatzbefund
An anderer Stelle im Resektat kann neben schwer dysplastisch veränderter Barrett Mukosa ein Frühstadium eines invasiven Adenokarzinoms nachgewiesen werden.
Klinik
Seit mehreren Jahren Refluxbeschwerden. In mehrfach wiederholten Untersuchungen wird ein langstreckiger Barrett Ösophagus mit fokaler schwerer Dysplasie nachgewiesen. Es erfolgt die Ösophagektomie.
Kommentar
Bei einer intestinalen Metaplasie im gastroösophagealen Übergang kann es sich um einen Barrett Ösophagus oder um eine morphologisch weitgehend identische chronische Gastritis mit intestinaler Metaplasie handeln. Der Pathologe ist deshalb auf die genaue Lokalisationsangabe des Endoskopikers angewiesen. Die intestinale Metaplasie im proximalen Magen ist meist Helikobakter assoziiert, während die intestinale Metaplasie der Ösophagusschleimhaut eine Komplikation des gastroösophagealen Reflux darstellt. Der alleinige Nachweis einer Zylinderepithelmetaplasie reicht nicht aus für die Diagnose eines Barrett Ösophagus. Die Bezeichnung Barrett Ösophagus ist Fällen mit Zylinderepithelmetaplasie mit Becherzellen(=spezialisiertes Epithel bzw. intestinale Metaplasie) der Ösophagusschleimhaut vorbehalten.
Bilder Typ
Histologie
Vergrösserung
200
Alter
52
Geschlecht
männlich
Datum
Ersteintrag: 06.05.2002
Update: 04.02.2024