PathoPic – image database / PathoPic ID 4753 - Barrettmukosa

de
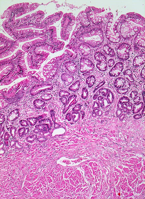
Diagnose
Barrettmukosa
Diagnose Gruppe
Metaplasie / Heterotopie
Topographie
Oesophagus, distal
Topographie Gruppe
Oesophagus, Magen
Beschreibung
Anstelle von Plattenepithel findet sich eine Zylinderzellmetaplasie mit Becherzellen, welche an Darmschleimhaut erinnert. Das Stroma der Lamina propria ist locker entzündlich infiltriert.
Zusatzbefund
An anderer Stelle im Resektat kann neben schwer dysplastisch veränderter Barrett Mukosa ein Frühstadium eines invasiven Adenokarzinoms nachgewiesen werden.
Klinik
Seit mehreren Jahren Refluxbeschwerden. In mehrfach wiederholten Untersuchungen wird ein langstreckiger Barrett Ösophagus mit fokaler schwerer Dysplasie nachgewiesen. Es erfolgt die Ösophagektomie.
Kommentar
Der alleinige Nachweis einer Zylinderepithelmetaplasie reicht nicht aus für die Diagnose eines Barrett Ösophagus. Die Bezeichnung Barrett Ösophagus ist Fällen mit Zylinderepithelmetaplasie mit Becherzellen(=spezialisiertes Epithel bzw. intestinale Metaplasie) der Ösophagusschleimhaut vorbehalten. Die Barrettmukosa kann zusätzlich eine leichte oder schwere Dysplasie aufweisen verbunden mit einem erhöhten Risiko für die Entwicklung eines Adenokarzinoms.
Bilder Typ
Histologie
Vergrösserung
50
Alter
52
Geschlecht
männlich
Datum
Ersteintrag: 06.05.2002
Update: 04.02.2024