PathoPic – image database / PathoPic ID 4754 - Basalzellhyperplasie bei gastroösophagealer Reflux

de
Diagnose
Basalzellhyperplasie bei gastroösophagealer Reflux
Diagnose Gruppe
Metaplasie / Heterotopie
Topographie
Oesophagogastrischer Uebergang
Topographie Gruppe
Oesophagus, Magen
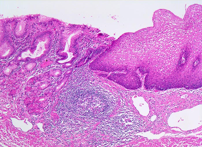
Beschreibung
Ausschnitt aus dem gastroösophagealen Übergang. Rechts im Bild die akanthotisch verbreiterte Ösophagusschleimhaut mit einer Verbreiterung der Basalzellschicht (dunkle Zellen) als Zeichen für Reflux. Daran angrenzend Magenschleimhaut (mit Schleimdrüsen und spezialisierten Magendrüsen) mit geringgradigem Entzündungsinfiltrat im Stroma. Keine intestinale Metaplasie. Lymphfollikel in der Submukosa.
Zusatzbefund
An anderer Stelle im Resektat kann neben schwer dysplastisch veränderter Barrett Mukosa ein Frühstadium eines invasiven Adenokarzinoms nachgewiesen werden.
Klinik
Seit mehreren Jahren Refluxbeschwerden. In mehrfach wiederholten Untersuchungen wird ein langstreckiger Barrett Ösophagus mit fokaler schwerer Dysplasie nachgewiesen. Es erfolgt die Ösophagektomie.
Kommentar
Morphologische Veränderungen bei Reflux: Hyperplasie der Basalzellschicht (Basalzellschicht normalerweise 10-15% der Schleimhautdicke), Hyperämie und Verlängerung der bindegewebigen Papillen auf >50% der Schleimhautdicke, Granulozyten in der Mukosa (vor allem eosinophile). Die Zylinderepithelmetaplasie und die Barrettmukosa sind ebenfalls eine Folge von vermehrtem Reflux.
Bilder Typ
Histologie
Vergrösserung
50
Alter
52
Geschlecht
männlich
Datum
Ersteintrag: 08.05.2002
Update: 04.02.2024