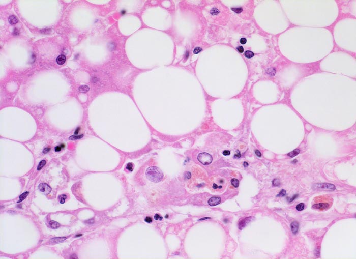
Die meisten Hepatozyten enthalten eine grosse optisch leere Fettvakuole, welche den Kern zur Seite verdrängt. Vereinzelt auch feintropfig verfettete Leberzellen mit multiplen kleinen Fettvakuolen und zentralständigem Kern. Zwischen den verfetteten Hepatozyten einzelne neutrophile Granulozyten und Lymphozyten. Hämosiderinbeladene Kupffer'sche Sternzelle.
Klinik
Seit Jahren bekannter Alkoholabusus mit bis vor kurzem kompensierter Leberzirrhose. Seit einer Woche Sepsis mit unklarem Fokus und zunehmende Aszitesbildung. Der Patient verstirbt an den Folgen der Sepsis trotz antibiotischer Therapie.
Kommentar
Eine Steatose kann zusätzlich mit einer Entzündung vergesellschaftet sein. Bei einer floriden alkoholischen Steatohepatitis sind oft Mallory Körperchen und Megamitochondrien nachweisbar (nicht in diesem Fall). Die gemischte Entzündung mit neutrophilen Granulozyten findet sich vor allem in der Zone 3 (perivenulär). Die Portalfelder können ebenfalls ein entzündliches Infiltrat enthalten. Später kann zusätzlich eine Maschendrahtfibrose dazutreten (=sklerosierende Steatohepatitis). Die Steatohepatitis tritt auch bei nicht alkoholisch bedingten Leberschädigungen auf (sogenannte Nicht Alkoholische Steatohepatitis=NASH).