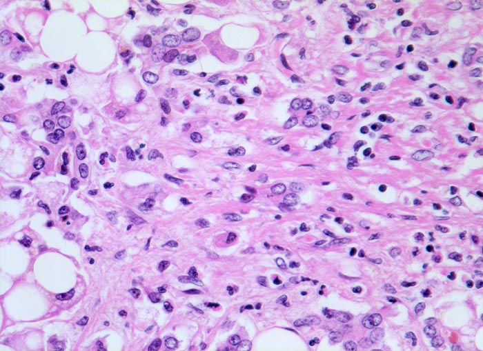
Fibrös verbreitertes Portalfeld mit proliferierten Ductuli und lockerem gemischtem Entzündungsinfiltrat. Grobtropfig verfettete Hepatozyten.
Klinik
Seit Jahren bekannter Alkoholabusus mit bis vor kurzem kompensierter Leberzirrhose. Seit einer Woche Sepsis mit unklarem Fokus und zunehmende Aszitesbildung. Der Patient verstirbt an den Folgen der Sepsis trotz antibiotischer Therapie.
Kommentar
Breite bindegewebige Septen und Ductulusproliferationen sind typisch für die alkoholische Leberzirrhose.