PathoPic – image database / PathoPic ID 4765 - alkoholische Leberzirrhose, Steatose

de
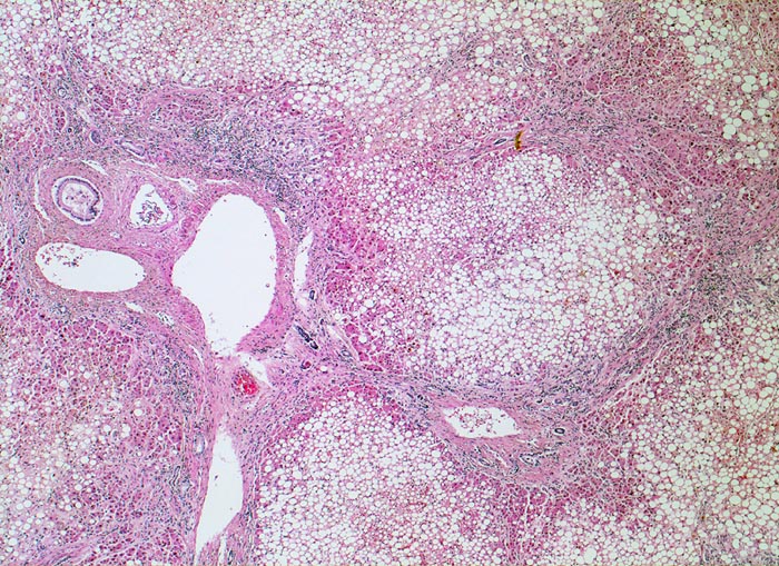
Diagnose
alkoholische Leberzirrhose, Steatose
Diagnose Gruppe
Therapiefolgen
Topographie
Leber
Topographie Gruppe
Leber, Gallenwege, Pankreas
Beschreibung
Bindgewebebige Septen verbinden die Portalfelder und führen zur Ausbildung kleiner Knoten. Ca. 80% der Hepatozyten sind grobtropfig verfettet.
Klinik
Seit Jahren bekannter Alkoholabusus mit bis vor kurzem kompensierter Leberzirrhose. Seit einer Woche Sepsis mit unklarem Fokus und zunehmende Aszitesbildung. Der Patient verstirbt an den Folgen der Sepsis trotz antibiotischer Therapie.
Kommentar
Die alkoholische Leberzirrhose ist bei fortgesetztem Alkoholabusus typischerweise feinknotig (Knotengrösse makroskopisch <3mm)
Bilder Typ
Histologie
Vergrösserung
25
Alter
57
Geschlecht
männlich
Datum
Ersteintrag: 06.10.2002
Update: 04.02.2024