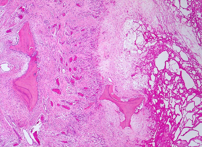
Randbereich einer Geröllzyste. Im Zentrum der Zyste nekrotischer Detritus und partiell resorbiertes avitales Knochenbälkchen. Die Geröllzyste wird umgeben von einem gefässreichen Granulationsgewebssaum. Darin liegt ein Knochenbälkchen, welches zystenwärts eine gesteigerte Resorption und auf der zystenabgewandten Seite einen gesteigerten Anbau mit Ausbildung einer Osteoblastentapete zeigt.
Klinik
74-jährige leicht adipöse Patientin mit Anlaufschmerz, belastungsabhängigem Schmerz und zunehmender Versteifung im Hüftgelenk. Im Röntgenbild des Hüftgelenks zeigen sich eine Gelenkspaltverschmälerung, subchondrale Osteolysen, Usuren und randständige Osteophyten.