PathoPic – image database / PathoPic ID 4773 - Synovialitis bei chronischer Polyarthritis

de
Diagnose
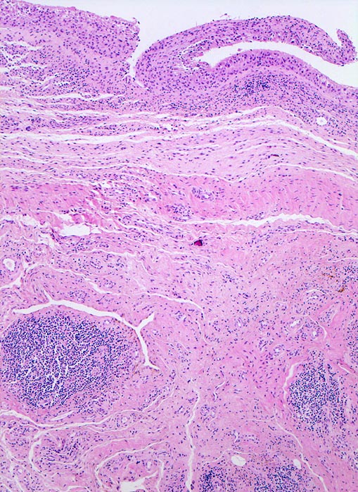
Synovialitis bei chronischer Polyarthritis
Diagnose Gruppe
Systemerkrankung/Immunpathologie
Topographie
Synovialis
Topographie Gruppe
Knochen, Knorpel, Gelenke
Beschreibung
Verdickte synoviale Deckzellschicht. Lymphofollikuläre Entzündungsinfiltrate im Stroma.
Klinik
Bekannte seropositive chronische Polyarthritis.
Kommentar
Der Nachweis von Lymphfollikeln ist typisch, aber nicht beweisend für eine chronische Polyarthritis.
Bilder Typ
Histologie
Vergrösserung
50
Alter
64
Geschlecht
unbekannt
Datum
Ersteintrag: 06.10.2002
Update: 04.02.2024