PathoPic – image database / PathoPic ID 4775 - Synovialitis bei chronischer Polyarthritis

de
Diagnose
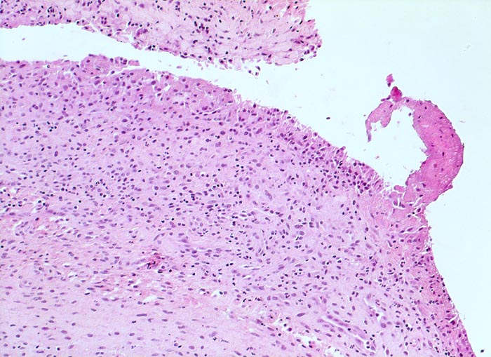
Synovialitis bei chronischer Polyarthritis
Diagnose Gruppe
Systemerkrankung/Immunpathologie
Topographie
Synovialis
Topographie Gruppe
Knochen, Knorpel, Gelenke
Beschreibung
Verdickte synoviale Deckzellschicht. Lockeres gemischtes Entzündungsinfiltrat im Stroma. Fokale Fibrinauflagerungen.
Klinik
Bekannte seropositive chronische Polyarthritis.
Bilder Typ
Histologie
Vergrösserung
100
Alter
64
Geschlecht
unbekannt
Datum
Ersteintrag: 06.05.2002
Update: 04.02.2024