PathoPic – image database / PathoPic ID 4781 - aseptische Femurkopfnekrose

de
Diagnose
aseptische Femurkopfnekrose
Diagnose Gruppe
vaskulär / Durchblutungsstörung
Topographie
Knochen, Femurkopf
Topographie Gruppe
Knochen, Knorpel, Gelenke
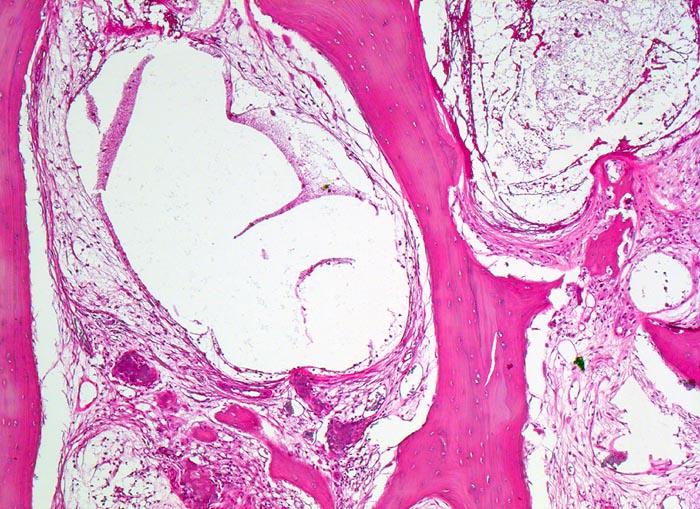
Beschreibung
Ausschnitt aus der Nekrosezone: osteoklastische Resorption eines sequestrierten Spongiosabälkchens. In den nekrotischen Markräumen haben sich pseudozystische Hohlräume gebildet. Das nekrotische Knochenmark wird ersetzt durch lockeres gefässhaltiges Bindegewebe.
Klinik
Der Patient ist Gastwirt von Beruf und klagt über rasch zunehmende Schmerzen im rechten Hüftgelenk, die auch nachts auftreten. Aufgrund der invalidisierenden Schmerzen wird eine Endoprothese eingesetzt.
Bilder Typ
Histologie
Vergrösserung
50
Alter
41
Geschlecht
männlich
Datum
Ersteintrag: 06.05.2002
Update: 04.02.2024