PathoPic – image database / PathoPic ID 4784 - aseptische Femurkopfnekrose

de
Diagnose
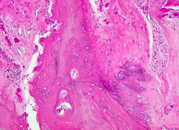
aseptische Femurkopfnekrose
Diagnose Gruppe
vaskulär / Durchblutungsstörung
Topographie
Knochen, Femurkopf
Topographie Gruppe
Knochen, Knorpel, Gelenke
Beschreibung
Gesteigerte Umbauphänomene in der Nekrosezone: Ortsständiger Lamellenknochen wird als Leitschiene zur Fasernknochenneubildung benutzt. Auf der gegenüberliegenden Seite wird der Lamellenknochen von Osteoklasten resorbiert. Kleine avitale Knochensequester. Granulationsgewebe.
Klinik
Der Patient ist Gastwirt von Beruf und klagt über rasch zunehmende Schmerzen im rechten Hüftgelenk, die auch nachts auftreten. Aufgrund der invalidisierenden Schmerzen wird eine Endoprothese eingesetzt.
Bilder Typ
Histologie
Vergrösserung
100
Alter
41
Geschlecht
männlich
Datum
Ersteintrag: 08.05.2002
Update: 04.02.2024