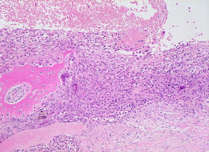
Pseudozystischer Hohlraum ohne Epithelauskleidung gefüllt mit Blut. Die Pseuozystenwand enthält Riesenzellen und mononukleäre Zellen angrenzend an zellarmes kollagenes Bindegewebe. Daneben sieht man neugebildeten Faserknochen.
Klinik
Lokalisierte Schmerzen und Schwellung in der proximalen Fibula. Im Röntgenbild ist eine Osteolyse erkennbar, die die betroffene Fibula auftreibt. Die Cortikalis über der Osteolyse ist hauchdünn.