PathoPic – image database / PathoPic ID 4790 - Osteosarkom

de
Diagnose
Osteosarkom
Diagnose Gruppe
maligner Tumor
Topographie
Knochen, Femur
Topographie Gruppe
Knochen, Knorpel, Gelenke
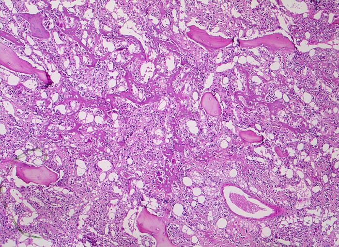
Beschreibung
Die breiten ursprünglichen lamellären Knochenbälkchen sind weitgehend erhalten. Das von den atypischen Tumorzellen gebildete unregelmässige und fein vernetzte Tumorosteoid liegt in den Markräumen und lagert sich teilweise dem ortsständigen Knochen an.
Klinik
16 jähriger Jugendlicher mit seit mehreren Wochen bestehenden belastungsunabhängigen Schmerzen im distalen Femur rechts oberhalb des Knies (Metaphyse). Im Röntgenbild irreguläre Verdichtung, zum Teil auch Aufhellung der ursprünglichen Knochenstruktur mit Zerstörung der Corticalis und spiculaartige (=sonnenstrahlenähnliche) Periostreaktion. Im Serum erhöhte alkalische Phosphatase.
Bilder Typ
Histologie
Vergrösserung
50
Alter
16
Geschlecht
männlich
Datum
Ersteintrag: 08.05.2002
Update: 04.02.2024