PathoPic – image database / PathoPic ID 4793 - Osteosarkom

de
Diagnose
Osteosarkom
Diagnose Gruppe
maligner Tumor
Topographie
Knochen, Femur
Topographie Gruppe
Knochen, Knorpel, Gelenke
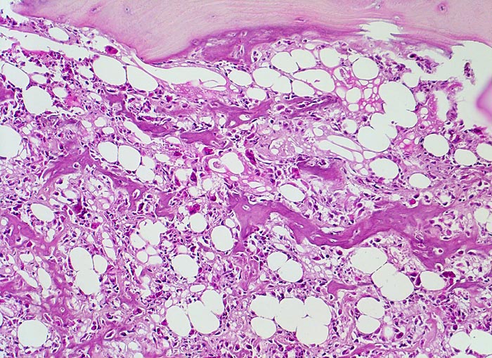
Beschreibung
Atypische Tumorzellen bilden fein verzweigtes verkalktes Osteoid im ehemaligen Markraum. Neben den Tumorzellen mehrkernige reaktive osteoklastäre Riesenzellen. Oben im Bild erhaltener nicht maligner Lamellenknochen.
Klinik
16 jähriger Jugendlicher mit seit mehreren Wochen bestehenden belastungsunabhängigen Schmerzen im distalen Femur rechts oberhalb des Knies (Metaphyse). Im Röntgenbild irreguläre Verdichtung, zum Teil auch Aufhellung der ursprünglichen Knochenstruktur mit Zerstörung der Corticalis und spiculaartige (=sonnenstrahlenähnliche) Periostreaktion. Im Serum erhöhte alkalische Phosphatase.
Bilder Typ
Histologie
Vergrösserung
100
Alter
16
Geschlecht
männlich
Datum
Ersteintrag: 08.05.2002
Update: 04.02.2024