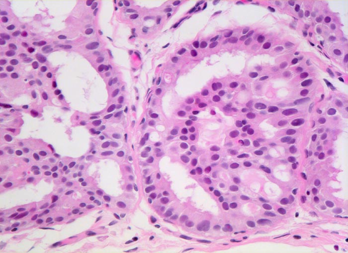
Erweiterte Gänge angefüllt mit proliferiertem Epithel. Im Gegensatz zu einem duktalen Carcinoma in situ sind die proliferierten Zellen polymorph. Teilweise entsteht der Eindruck "fliessender" Zellen. Die vorhandenen Hohlräume sind nicht kreisrund, sondern unregelmässig verzogen und randständig schlitzförmig.
Klinik
Probeexzision wegen umschriebenen Mikroverkalkungen in der Screeningmammographie. Bei der Palpation lassen sich mehrere unscharf begrenzte derbe Knoten tasten.