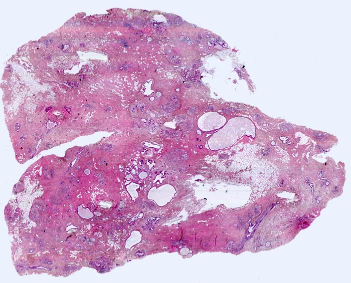
fibrös zystische Mastopathie mit Mikroverkalkungen
Diagnose Gruppe
organspezifische Erkrankung
Topographie
Mamma
Topographie Gruppe
Mamma
Beschreibung
Ausgedehnte Fibroseareale schliessen kleine Inseln von Fettgewebe ein. Zahlreiche Gänge sind unterschiedlich stark dilatiert. Zusammen ergibt sich die Diagnose einer fibrös zystischen Mastopathie.
Klinik
Probeexzision wegen umschriebenen Mikroverkalkungen in der Screeningmammographie. Bei der Palpation lassen sich mehrere unscharf begrenzte derbe Knoten tasten.