PathoPic – image database / PathoPic ID 4803 - akute Transplantatverwerfung: leichte Tubulitis

de
Diagnose
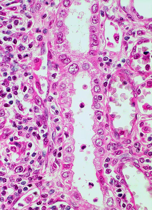
akute Transplantatverwerfung: leichte Tubulitis
Diagnose Gruppe
Systemerkrankung/Immunpathologie
Topographie
Niere
Topographie Gruppe
Niere, Harnwege
Beschreibung
Leichte Tubulitis mit weniger als 4 mononukleären Entzündungszellen pro 10 Tubuluszellen. Im angrenzenden Interstitium ebenfalls gemischtes mononukleäres Infiltrat mit Lymphozyten, Immunoblasten mit grossem zentralem Nukleolus und Histiozyten mit bohnenförmigen Kernen.
Klinik
Leichennierentransplantation wegen dialysepflichtiger Niereninsuffizienz bei diabetischer Nephropathie. 5 Wochen nach Transplantation bemerkte der Patient ein Nachlassen der Urinausscheidung mit Gewichtsanstieg und Spannungsgefühl im Bereich des Transplantates. Trotz sofortiger Steigerung der immunsuppressiven Therapie kam es zum Transplantatversagen.
Kommentar
Gemäss der Banff Klassifikation wird die Tubulitis quantifiziert mit einem Score:
t0 = keine mononukleären Zellen im Tubulus
t1 = 1 bis 4 Entzündugnszellen pro tubulärer Querschnitt oder pro 10 Tubuluszellen
t2 = 5 bis 10 Entzündugnszellen pro tubulärer Querschnitt
t3 = >10 Entzündugnszellen pro tubulärer Querschnitt
Bilder Typ
Histologie
Vergrösserung
200
Alter
58
Geschlecht
männlich
Datum
Ersteintrag: 06.10.2002
Update: 04.02.2024