PathoPic – image database / PathoPic ID 4814 - Prostatakarzinom: Knochenmetastase

de
Diagnose
Prostatakarzinom: Knochenmetastase
Diagnose Gruppe
maligner Tumor
Topographie
Knochen, Wirbelsäule
Topographie Gruppe
Knochen, Knorpel, Gelenke
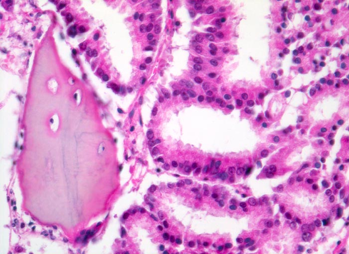
Beschreibung
Grössere Karzinomdrüsen mit hochprismatischem Epithel infiltrieren den Knochen. Die Tumorzellkerne haben teilweise deutlich erkennbare Nukleolen. Das Spongiosabälkchen links im Bild ist weitgehend abgebaut. Ein Osteoklast setzt den Abbau fort.
Zusatzbefund
Bei Autopsie finden sich zahlreiche, teils osteoplastische, teils osteolytische Metastasen im Bereich der Wirbelsäule. Die Karzinomdrüsen sind immunhistochemisch positiv für Prostata spezifisches Antigen.
Klinik
Bekanntes metastasierendes Prostatakarzinom. St.n. bilateraler Orchiektomie. Diffuse Schmerzen im Bereich der Wirbelsäule. Der Patient verstirbt an einem Myokardinfarkt.
Kommentar
Bei einem metastasierenden Adenokarzinom mit unbekanntem Primärtumor kann aufgrund der Morphologie nur sehr bedingt auf den Ursprung des Tumors geschlossen werden. Einzelne Tumoren können aber aufgrund der immunhistochemisch nachweisbaren Expression eines spezifischen Antigens zuverlässig diagnostiziert werden (z.B. Thyreoglobulin und TTF1 in Schilddrüsenkarzinomen, PSA in Prostatakarzinomen). In manchen Fällen kann aber nur eine Differentialdiagnose abgegeben werden (Tumoren aus dem Gastrointestinaltrakt).
Bilder Typ
Histologie
Vergrösserung
320
Alter
88
Geschlecht
männlich
Datum
Ersteintrag: 03.07.2002
Update: 04.02.2024